ngµç×ÓÓÎÏ·ÐÂÎÅÍøÑ¶£¨Í¨Ñ¶Ô±½ªöΣ©ÈÕǰ£¬£¬Á¥ÊôµÚÎåҽԺʵÑéÑо¿²¿»ÆêؽÌÊÚÑо¿¿ª·¢ÁËÒ»ÖÖÁ¢ÒìµÄ¿ÉÎüÈëʽ»ùÒòµÝËÍϵͳ£¬£¬ÎªÖÎÁư©Ö¢·Î×ªÒÆºÍ·ÀÖ¹¸´·¢ÌṩÁËÒ»ÖÖȫС¢¸ßЧÇÒÇå¾²µÄÃâÒßÖÎÁÆÕ½ÂÔ¡£¡£Ïà¹ØÑо¿Ð§¹û½ÒÏþÔÚ¡¶×ÔÈ»¡¤Í¨Ñ¶¡·£¨Nature Communications£©¡£¡£

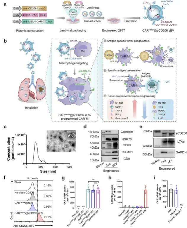
ͼ£º£ºCARmRNA@aCD206 sEVsµÄÖÆ±¸¼°×÷ÓûúÖÆÊ¾Òâͼ
£¨Í¼Æ¬ÈªÔ´: Nature Communications£©
°©Ö¢×ªÒƺ͸´·¢Êǵ¼Ö»¼ÕßéæÃüµÄÖ÷ÒªÔÒò£¬£¬ÆäÖзβ¿ÊÇ×î³£¼ûµÄ×ªÒÆ°ÐÆ÷¹Ù¡£¡£Ö»¹ÜCAR-Tϸ°ûÁÆ·¨ÔÚѪҺÖ×ÁöÖÐЧ¹ûÏÔÖø£¬£¬µ«ÔÚʵÌåÁöÖÎÁÆÖÐÈÔÃæÁÙÖî¶àÆ¿¾±¡£¡£»ÆêؽÌÊÚÍŶӶÀ±Ùõè¾¶£¬£¬½«ÑÛ¹âͶÏòÁ˾ßÓÐǿʢÖ×Áö½þÈóºÍÍÌÊÉÄÜÁ¦µÄ¾ÞÊÉϸ°û£¬£¬ÖÂÁ¦ÓÚ¿ª·¢ÐÂÒ»´úµÄǶºÏ¿¹ÔÊÜÌå¾ÞÊÉϸ°û£¨CAR-M£©ÁÆ·¨¡£¡£
¹Å°åµÄCAR-MÖÆÔ칤ÒÕÖØ´ó£¬£¬ÇÒϸ°ûͨ¹ý¾²Âö×¢Éäºó´ó¶àÖÍÁôÔÚ¸ÎÔ࣬£¬ÄÑÒÔÓÐÓõִï·Î²¿²¡Ôî¡£¡£Õë¶ÔÕâÒ»ÄÑÌ⣬£¬»ÆêؽÌÊÚÍŶÓÉè¼ÆÁËÒ»ÖÖÇÉÃîµÄ¡°ÔλˢС±·½°¸£º£ºËûÃÇÀֳɹ¹½¨ÁËÒ»ÖÖ¹¤³Ì»¯µÄСϸ°ûÍâÄÒÅÝ£¨sEV£©£¬£¬ÆäÍâòÕûºÏÁ˰ÐÏò¾ÞÊÉϸ°ûµÄ¿¹Ì壨¿¹CD206 scFv£©£¬£¬ÄÚ²¿×°ÔØÁ˿ɱàÂëʶ±ðÖ×Áö¿¹Ô¼äÆ¤ËØµÄCAR½á¹¹µÄmRNA¡£¡£
Ñо¿Åú×¢£¬£¬Í¨¹ýÎüÈ뷽ʽ¸øÒ©£¬£¬ÕâЩ±»ÃüÃûΪ¡°CARmRNA@aCD206 sEV¡±µÄϸСÄÒÅÝÄܹ»¸ßЧµØÔÚ·Î×éÖ¯¸»¼¯£¬£¬²¢¾«×¼µØ½«CAR mRNAµÝËÍÖÁ·Î²¿µÄ¾ÞÊÉϸ°ûÖС£¡£ÕâЩ±»¡°Ë¢Ð¡±µÄ¾ÞÊÉϸ°ûÀÖ³Éת±äΪ¾ßÓÐǿʢ¿¹°©ÄÜÁ¦µÄCAR-Mϸ°û¡£¡£ÔÚ·Î×ªÒÆ°©Ð¡ÊóÄ£×ÓÖУ¬£¬¸ÃÁÆ·¨ÓÐÓÃÒÖÖÆÁËÖ×ÁöÉú³¤£¬£¬²¢ÀÖ³ÉÒý·¢ÁË»úÌåµÄ³¤Ð§ÃâÒßÓ°Ï󣬣¬ÏÔÖøÔ¤·ÀÁËÖ×Áö¸´·¢£¬£¬ÑÓÉìÁËÉúÑÄʱ¼ä¡£¡£
¸ÃÑо¿Ð§¹ûÊÇϸ°ûÃâÒßÖÎÁÆÁìÓòµÄÒ»ÏîÖØ´óÍ»ÆÆ£¬£¬²»µ«Îª·Î×ªÒÆ°©»¼Õß´øÀ´ÁËеÄÏ£Íû£¬£¬Ò²¼«´óÍÆ¶¯ÁËCARÊÖÒÕÔÚʵÌåÁöÖÎÁÆÖеÄÁÙ´²Ó¦ÓÃÔ¶¾°¡£¡£Ëü±ê¼Ç×ÅÎÒÔºÔÚÖ×ÁöÃâÒßÖÎÁÆ»ù´¡Ñо¿Óëת»¯Ó¦Ó÷½ÃæÈ¡µÃÁËÓÖÒ»Àï³Ì±®Ê½µÄÏ£Íû¡£¡£
ÂÛÎÄÁ´½Ó£º£ºhttps://pubmed.ncbi.nlm.nih.gov/40759657/