ngµç×ÓÓÎÏ·ÐÂÎÅÍøÑ¶£¨Í¨Ñ¶Ô±¼òÎÄÑî¡¢¡¢´÷Ï£°²¡¢¡¢á¯Á룩CT×÷ΪһÖÖ³£¼ûµÄ¼ì²éÊֶΣ¬£¬£¬ÏàÐŲ»ÉÙÀÏÀèÃñ¾ùÊ®·ÖÊìϤ¡£¡£¡£¶ø»ùÓÚÓ°ÏñµÄ×Ô¶¯Ö§½âÊÖÒÕÄܹ»¸¨ÖúÒ½Éú׼ȷÏàʶ²¡ÔîµÄλÖᢡ¢¾ÞϸÒÔ¼°ÓëÖÜΧѪ¹Ü¡¢¡¢×éÖ¯µÄ¹ØÏµ£¬£¬£¬×ÊÖú¼²²¡Õï¶Ï¡¢¡¢Í¼ÏñÖ¸µ¼ÊÖÊõÒÔ¼°Ò½Ñ§Êý¾ÝµÄ¿ÉÊÓ»¯£¬£¬£¬ÎªÁÙ´²ÕïÁƺͲ¡ÀíѧÑо¿Ìṩ¿É¿¿µÄÒÀ¾Ý¡£¡£¡£Ä¿½ñ£¬£¬£¬ÄÜ·ñʵÏÖÈ«×Ô¶¯µÄ¡¢¡¢¾«×¼µÄ²¡ÔîÖ§½âÊǾöÒéҽѧӰÏñÔÚÁÙ´²Ê¹ÓÃЧ¹ûµÄÒªº¦¡£¡£¡£
½üÄêÀ´£¬£¬£¬Éî¶ÈÉñ¾ÍøÂçµÄ¿ìËÙ¿ªÕ¹Ê¹µÃÐí¶àÏȽøµÄÖ§½âÒªÁ춼ȡµÃÁË¿ÉϲµÄÏ£Íû¡£¡£¡£µ«Óë¸ÎÔà¡¢¡¢ÐÄÔàµÈÆ÷¹ÙÏà±È£¬£¬£¬³¦µÀÖ×ÁöµÄÐÎ̬¡¢¡¢Î»ÖõÄת±ä´ó£¬£¬£¬Òò´Ë£¬£¬£¬³¦µÀÖ×ÁöµÄ×Ô¶¯Ö§½âʹÃüÄѶȸߡ£¡£¡£ÌØÊâÊǽ᳦°©£¬£¬£¬Òò²¡ÔîÂþÑܹæÄ£´ó¡¢¡¢ÆÊ½â½á¹¹Öش󣬣¬£¬Ò»Ö±Î´ÄÜʵÏÖÓÐÓõIJ¡Ôî×Ô¶¯Ö§½â£¬£¬£¬ÕâÒ»ÏÖ×´ÑÏÖØÖÆÔ¼Á˳¦°©¾«×¼ÕïÁÆÈ˹¤ÖÇÄܵÄÁÙ´²Ó¦Óᣡ£¡£
¿ËÈÕ£¬£¬£¬ngµç×ÓÓÎÏ·Á¥ÊôµÚÁùÒ½Ôº½áÖ±³¦¸ØÃÅÍâ¿ÆÎâС½£ÍŶÓÂõ³öÁ˼áʵµÄÒ»²½¡£¡£¡£ËûÃÇÔÚ¹ú¼ÊÉÏÂÊÏÈʵÏÖÁË×ÔÖ÷½á³¦°©²¡ÔîÓ°Ïñ¾«×¼Ö§½âµÄÈ˹¤ÖÇÄÜÁÙ´²½â¾ö·½°¸£¬£¬£¬Ô´ÓÚÆä¿ª·¢µÄ½á³¦°©²¡Ôî×Ô¶¯¾«×¼Ö§½âµÄҽѧӰÏñÈ˹¤ÖÇÄÜÈõ¼àÊÓ-°ë¼àÊÓ¿ò¼Ü(Segmentation Only Uses Sparse Annotations£¬£¬£¬SOUSA )¡£¡£¡£Ïà¹ØÑо¿Ð§¹ûÔÚҽѧӰÏñÈ˹¤ÖÇÄÜËã·¨¶¥¿¯Medical Image Analysis£¨IF=13.828£©½ÒÏþ¡£¡£¡£
±¾Ñо¿ÓÉÎâС½£½ÌÊÚÍŶÓǣͷ£¬£¬£¬ÁªºÏ¿¦Ê²µØÇøµÚÒ»ÈËÃñÒ½Ôº£¨ÒÔϼò³Æ¡°¿¦µØÒ»Ôº¡±£©×ÞС¹ã½ÌÊÚÍŶӡ¢¡¢ÉϺ£È˹¤ÖÇÄÜʵÑéÊÒÐ×÷Íê³É¡£¡£¡£
ÂÛÎÄÌâΪ¡°Segmentation only uses sparse annotations: Unified weakly and semi-supervised learning in medical images¡±£¨Ö»Ê¹ÓÃÏ£º±±ê×¢µÄ²¡ÔîÖ§½â£º£ºÒ½Ñ§Í¼ÏñµÄÁªºÏÈõѧϰºÍ°ë¼àÊÓѧϰ£©£¬£¬£¬ÎâС½£½ÌÊÚΪ×îºóͨѶ×÷Õߣ¬£¬£¬¿¦µØÒ»Ôº×ÞС¹ã½ÌÊÚ¡¢¡¢ÉϺ£½»Í¨´óѧÕÅÏþ·²½ÌÊÚΪÅäºÏͨѶ×÷Õߣ¬£¬£¬ngµç×ÓÓÎÏ·Á¥ÊôµÚÁùÒ½Ôºá¯Á븱Ñо¿Ô±¡¢¡¢ÖÓÃô¶ù²©Ê¿¡¢¡¢ÃÏÏþ´ºÖ÷ÈÎÓ뿦µØÒ»ÔºÌïÐòΰÖ÷ÈÎΪÅäºÏµÚÒ»×÷Õߣ¬£¬£¬¿¦µØÒ»ÔºÂíÒÀµÏÀö¡¤Äá¼ÓÌáÖ÷ÈεÈΪÅäÏàÖúÕß¡£¡£¡£


»ùÓÚCTÓ°ÏñµÄ½á³¦°©²¡ÔîÖ§½â
¾Ý½éÉÜ£¬£¬£¬»ùÓÚҽѧӰÏñµÄÈ˹¤ÖÇÄÜΪ³¦°©¸öÌ廯ÕïÁÆÌṩÁËÖØ´óµÄ¿ÉÄÜÐÔ£¬£¬£¬ÒѾÓжàÏîÑо¿ÊµÏÖÁ˲¡È˵ÄÁÆÐ§Ô¤²â¡¢¡¢Êõºó¸´·¢·çÏÕÆÀ¹À£¬£¬£¬µ«ÕâЩӦÓÃÎÞ²»ÒÀÀµÓÚ¾«×¼µÄ²¡ÔîÖ§½â¡£¡£¡£´Ë´ÎSOUSAÊÖÒյĿª·¢ÔÚ¹ú¼ÊÉÏÊ×´ÎʵÏÖÁËÈ´³¦°©µÄ×Ô¶¯Ö§½â£¬£¬£¬Îª¼ÓËÙ³¦°©È˹¤ÖÇÄܾ«×¼ÕïÁƵÄÁÙ´²Ó¦ÓõÓÚ¨ÁË»ù´¡¡£¡£¡£×Ô¶¯»¯±ê×¼»¯µÄ¾«×¼Ó°ÏñÐÅÏ¢´¦Àí½«ÓÐÓõؽµµÍ¾¼Ã¡¢¡¢Ê±¼äºÍÈËÁ¦±¾Ç®£¬£¬£¬Îª¾«×¼ÕïÁƵÄʵÑéÌṩÁËÖ÷ÒªµÄÁÙ´²ÒÀ¾Ý£¬£¬£¬¾ß±¸¼«´óµÄÁÙ´²×ª»¯Ó¦ÓÃÔ¶¾°¡£¡£¡£
±¾Ñо¿ÖУ¬£¬£¬ÍŶÓÔÚSOUSA¿ò¼ÜÖгä·ÖʹÓÃÁËÈõ¼àÊÓѧϰºÍ°ë¼àÊÓѧϰµÄÓÅÊÆ£¬£¬£¬Ìá¸ßÁËÈ˹¤ÖÇÄܵÄѧϰЧÂÊ£¬£¬£¬ïÔÌÁ˼ÙÑôÐÔµÄÔ¤²â£¬£¬£¬ÏÔÖøÌá¸ßÁ˲¡ÔîÖ§½âµÄ׼ȷ¶È¡£¡£¡£

SOUSA¿ò¼Ü
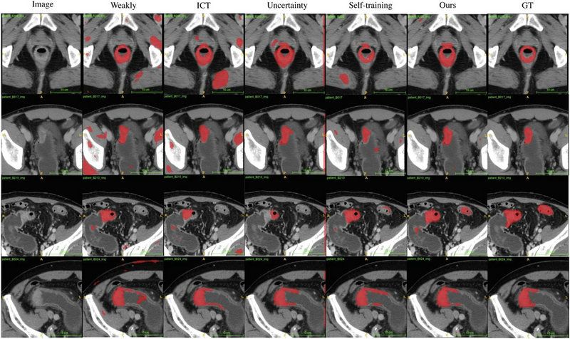
ÍŶÓʹÓÃÀ´×Ôngµç×ÓÓÎÏ·Á¥ÊôµÚÁùÒ½ÔººÍ¿¦µØÒ»ÔºµÄ923ÀýÓбê×¢½á³¦°©CTÓ°ÏñºÍ2670ÀýÎÞ±ê×¢½á³¦°©CTÓ°Ïñ×÷ΪSOUSA¿ò¼ÜµÄѵÁ·Êý¾Ý¼¯£¬£¬£¬²¢Ê¹ÓÃ417Àý½á³¦°©CTÓ°Ïñ¶ÔSOUSA¿ò¼Ü¾ÙÐÐÑéÖ¤£¬£¬£¬Ð§¹ûÏÔʾÆä×Ô¶¯Ö§½âЧ¹ûÓÅÓÚÏÖÓеÄÈõ¼àÊӺͰë¼àÊÓѧϰģ×Ó¡£¡£¡£ÓëÏÖÔÚ×îÏȽøµÄÒªÁìICT (Verma et al.£¬£¬£¬2019)¡¢¡¢²»È·¶¨ÐÔ¸ÐÖª(Yu et al.£¬£¬£¬2019)ºÍ×ÔÎÒѵÁ·Ïà±È£¬£¬£¬SOUSA¿ò¼ÜÔÚÿ¸öÊý¾Ý±ÈÂÊÉ϶¼µÖ´ïÁË×î¼ÑÐÔÄÜ¡£¡£¡£±ðµÄ£¬£¬£¬µ±Êý¾Ý¼¯µÄ¾ÞϸÓÐÏÞʱ£¬£¬£¬SOUSA¿ò¼ÜµÄÐÔÄÜÉõÖÁÓëʹÓÃ÷缯עÊ͵ÄÄ£×ÓµÄÐÔÄÜÏ൱¡£¡£¡£

¶Ô³¦°©Êý¾Ý¼¯Ê¹Óòî±ðÒªÁìµÄ×Ô¶¯Ö§½âЧ¹û
ÊÜngµç×ÓÓÎÏ·Ñ¡ÅÉ£¬£¬£¬×Ô2021Äê6ÔÂ27ÈÕÆð£¬£¬£¬ÏÖÈι㶫ʡԮ½®Ò½ÁƶӶӳ¤¡¢¡¢¿¦µØÒ»ÔºÔº³¤¡¢¡¢ngµç×ÓÓÎÏ·Á¥ÊôµÚÁùÒ½Ôº¸±Ôº³¤ÎâС½£Í¶ÉíΪÆÚÒ»Äê°ëµÄÔ®½®ÊÂÇé¡£¡£¡£Ô®½®Ê±´ú£¬£¬£¬ÎâС½£×¤×ãÍâµØÑ§¿Æ½¨É裬£¬£¬Ê©Õ¹¸ÃÔºÍŶÓר³¤£¬£¬£¬ÒÔSOUSA¿ò¼ÜÕâÒ»ÔÁ¿¦ÏàÖúЧ¹ûÇÐʵÖúÁ¦¿¦µØÒ»Ôº¿ªÕ¹¡£¡£¡£
ÂÛÎÄÁ´½Ó£º£ºhttps://doi.org/10.1016/j.media.2022.102515