ngµç×ÓÓÎÏ·ÐÂÎÅÍøÑ¶£¨Í¨Ñ¶Ô±ËÎÑÓÄÈ£©¶à·¢ÐÔÓ²»¯Ö¢(multiple sclerosis, MS)ÊÇÒ»ÖÖÃâÒ߽鵼µÄÖÐÊàÉñ¾ÏµÍ³Ñ×Ö¢ÍÑËèÇʼ²²¡£¬Ö÷ÒªÌåÏÖΪÔ˶¯¡¢¡¢¡¢¸ÐÊÜ¡¢¡¢¡¢ÈÏÖªºÍÉñ¾¾«Éñ¹¦Ð§Õϰ¡£¡£ÖµµÃ×¢ÖØµÄÊÇ£¬Áè¼Ý50%µÄMS»¼Õß±£´æÈÏÖª¹¦Ð§ËðÉË¡£¡£È»¶ø£¬ÏÖÔڵļ²²¡ÐÞÕýÖÎÁÆ£¨disease modifying therapy, DMT£©¶ÔMS»¼ÕßµÄÈÏÖªËðÉ˸ÄÉÆÓÐÏÞ¡£¡£Òò´Ë£¬ÉîÈëÑо¿MSÈÏÖª¹¦Ð§ËðÉ˵IJ¡ÀíÐÄÀí»úÖÆ£¬Ñ°ÕÒеÄÖÎÁÆ°Ðµã½ø¶øÑÓ»ºMSÈÏÖª¹¦Ð§µÄϽµÖÁ¹ØÖ÷Òª¡£¡£
¿ËÈÕ£¬ngµç×ÓÓÎÏ·Á¥ÊôµÚÈýÒ½ÔºÄÔ²¡ÖÐÐÄÇñΰ/ÌÀ³£ÓÀÍŶÓÔÚ¹ú¼Ê×ÅÃûÆÚ¿¯Cell Reports½ÒÏþÁËÌâΪ¡°Astrocyte-derived CHI3L1 signalling impairs neurogenesis and cognition in the demyelinated hippocampus¡±µÄÑо¿ÂÛÎÄ£¬Õ¹ÏÖÁËÐÇÐνºÖÊϸ°ûȪԴµÄCHI3L1ͨ¹ýCRTH2/RAGE-¦Â-cateninÐźÅͨ·¼ÓÈëµ÷¿ØÍÑËèÇʺ£ÂíµÄÉñ¾±¬·¢ºÍÈÏÖª¹¦Ð§¡£¡£
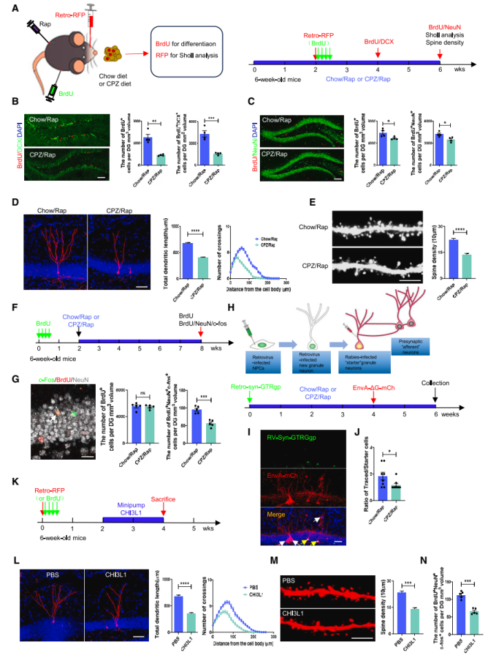
ÔÚÍÑËèÇʺÍÔÙËèÇʺ£ÂíÖУ¬CHI3L1ˮƽ¡¢¡¢¡¢º£ÂíÉñ¾±¬·¢ºÍÈÏÖª¹¦Ð§³Ê¶¯Ì¬¸Ä±ä¡£¡£ÍŶӷ¢Ã÷£¬Ïà½ÏÓÚ¿µ½¡±ÈÕÕÕߣ¬ MS»¼ÕßѪÇåºÍÄÔ¼¹ÒºÖÐCHI3L1ˮƽÏÔ×ÅÉý¸ß£¬ÑªÇåÖÐCHI3L1º¬Á¿ÓëÈÏÖª¹¦Ð§ÆÀ·Ö³Ê¸ºÏà¹Ø¡£¡£ÁíÍ⣬ÔÚË«»·¼ºÍª²Ýõ£¶þëê/ÀÙÅÁÃ¹ËØ£¨CPZ/Rap£©ÓÕµ¼µÄÍÑËèÇʺ£ÂíÖУ¬¼¤»îµÄÐÇÐνºÖÊϸ°ûÄÚCHI3L1µÄ±í´ïÖð½¥Éϵ÷£¬Éñ¾¸Éϸ°û£¨neural stem cells, NSCs£©µÄÊýÄ¿Öð½¥ïÔÌ£¬Éñ¾ÔªµÄÊ÷Í»³¤¶ÈºÍÖØÆ¯ºóÖð½¥Ï½µ£¬Ñ§Ï°ÐÐΪÊܵ½ÏÔ×ÅÒÖÖÆ£¬¶øÕâЩ¸Ä±äÔÚÔÙËèÇÊÀú³ÌÖеÃÒÔÄæ×ª£¨Í¼1£©¡£¡£

ͼ1 ÍÑËèÇʺÍÔÙËèÇʺ£ÂíÖÐCHI3L1ˮƽ¡¢¡¢¡¢Éñ¾¸Éϸ°ûµÄÔöÖ³ºÍÈÏÖªÌåÏֵĶ¯Ì¬¸Ä±ä
ÔÚÍÑËèÇʺ£ÂíÖУ¬Éñ¾¸Éϸ°ûµÄ·Ö»¯¡¢¡¢¡¢ÐÂÉúÉñ¾ÔªµÄ·¢ÓýºÍ¹¦Ð§ÅþÁ¬Êܵ½ÒÖÖÆ¡£¡£ÍŶӷ¢Ã÷CPZ/RapСÊóº£ÂíÄÚδ³ÉÊìÉñ¾ÔªºÍ³ÉÊìÉñ¾ÔªµÄϸ°ûÊýÄ¿ïÔÌ£¬RFP+ÐÂÉúÉñ¾ÔªµÄÊ÷Í»³¤¶È¡¢¡¢¡¢ÖØÆ¯ºóºÍÐÂÉúÉñ¾ÔªÖ®¼äµÄÅþÁ¬ÊÜËð£¬Ö¤ÊµCPZ/RapÒÖÖÆÁËNSCsµÄ·Ö»¯ºÍÐÂÉúÉñ¾ÔªµÄ·¢ÓýºÍ¹¦Ð§ÅþÁ¬£¨Í¼2£©¡£¡£

ͼ2 CPZ/Rap¸øÒ©»òCHI3L1¹ý±í´ï¶Ôº£ÂíÐÂÉúÉñ¾Ôª·¢ÓýºÍ¹¦Ð§ÅþÁ¬µÄÓ°Ïì
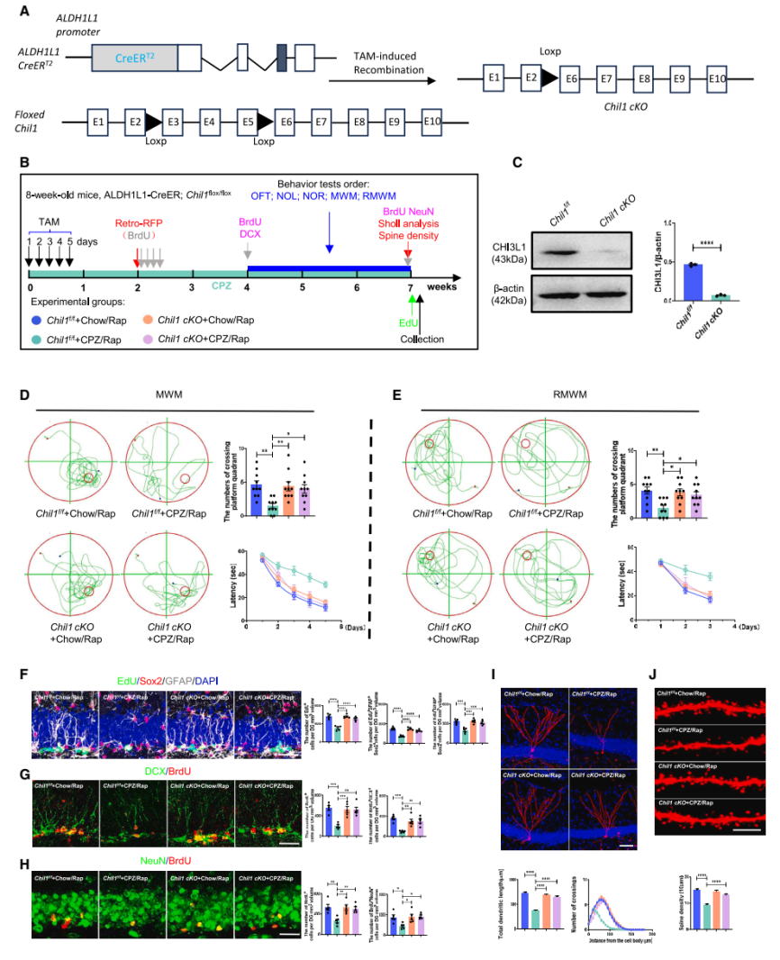
ÐÇÐνºÖÊϸ°ûÄÚÌØÒìÐÔÇóýChil1¿É¸ÄÉÆÍÑËèÇʺ£ÂíµÄÉñ¾±¬·¢È±Ïݼ°ÈÏÖª¹¦Ð§Õϰ¡£¡£ÍŶÓÓ¦ÓÃALDH1L1-CreERT2£»Chilflox/flox£¨Chil cKO£©Ð¡Ê󣬷¢Ã÷Chil cKOÄæ×ªÁËCPZ/Rap´¦Àí¶ÔNSCsÔöÖ³·Ö»¯¡¢¡¢¡¢ÐÂÉúÉñ¾Ôª·¢ÓýºÍÈÏÖª¹¦Ð§Ôì³ÉµÄËðº¦×÷Óã¨Í¼3£©¡£¡£

ͼ3 ÐÇÐνºÖÊϸ°ûChil1µÄȱʧ¶ÔCPZ/RapСÊó³ÉÄ꺣ÂíÉñ¾±¬·¢¡¢¡¢¡¢ÐÂÉúÉñ¾Ôª·¢ÓýºÍÈÏÖª¹¦Ð§µÄÓ°Ïì
CHI3L1ÓëRAGEÊÜÌåÁ¬Ïµ£¬Í¨¹ýïÔ̦Â-CateninÐźŴ«µ¼ÒÖÖÆº£ÂíÉñ¾Ôª·¢Óý¡£¡£Ñо¿·¢Ã÷ÇýµRAGEÄÜÕü¾ÈCHI3L1¹ý±í´ïºÍCPZ/Rap¸ÉÔ¤Ìõ¼þϵÄÐÂÉúÉñ¾Ôª·¢ÓýÒì³£¡£¡£±ðµÄ£¬µ÷¿ØCHI3L1/RAGE/¦Â-cateninÐźÅͨ·¿ÉÒÔ¸ÄÉÆMSСÊóÄ£×ÓÖÐÐÂÉúÉñ¾ÔªµÄ·¢ÓýȱÏÝ£¨Í¼4£©¡£¡£

ͼ4 CHI3L1ÒÖÖÆº£ÂíÐÂÉúÉñ¾Ôª·¢ÓýµÄÏà¹ØÊÜÌå¼°ÏÂÓÎÐźÅͨ·
ÁªºÏÓ¦ÓÃCRTH2ºÍRAGEÒÖÖÆ¼Á¿ÉÕü¾ÈÍÑËèÇʺ£ÂíµÄÉñ¾±¬·¢È±ÏݺÍÈÏÖª¹¦Ð§Õϰ¡£¡£ÁªºÏÓ¦ÓÃCRTH2ºÍRAGEÒÖÖÆ¼Á²»µ«Õü¾ÈÁËÍÑËèÇÊÓÕµ¼ÏµÄNSCsÔöÖ³ºÍ·Ö»¯Òì³££¬²¢ÇÒÔö½øÁËÍÑËèÇʺ£ÂíÖеÄÊ÷Í»ºÍ¼¬Í»·¢Óý£¬ÏÔ×ÅÔöÇ¿ÁËÍÑËèÇÊСÊóµÄÈÏÖª¹¦Ð§£¨Í¼5£©¡£¡£

ͼ5 ×è¶ÏRAGE»ò/ºÍCRTH2ÊÜÌå¶ÔCPZ/RapСÊóµÄº£ÂíÉñ¾±¬·¢¡¢¡¢¡¢ÐÂÉúÉñ¾ÔªµÄ·¢ÓýºÍÈÏÖª¹¦Ð§µÄÓ°Ïì
ÒÖÖÆGSK-3¦Â¼¤»î»ò¼¤»î¦Â-cateninÐźſÉÕü¾ÈÍÑËèÇʺ£ÂíµÄÉñ¾±¬·¢ºÍÈÏÖª¹¦Ð§Õϰ¡£¡£Ó¦ÓÃGSK3¦ÂÒÖÖÆ¼Á£¨TWS119£©ºÍ¦Â-catenin¼¤»î¼Á£¨BML-284£©¶¼ÄÜÓÐÓõÖÏûÍÑËèÇʶԺ£ÂíÉñ¾±¬·¢ºÍÐÂÉúÉñ¾Ôª·¢ÓýµÄÒÖÖÆ×÷Ó㬲¢ÄÜÕü¾ÈÍÑËèÇʺ£ÂíµÄÈÏ֪ȱÏÝ£¨Í¼6£©¡£¡£

ͼ6 µ÷¿ØGSK3¦Â/¦Â-cateninÐźÅͨ·¶ÔCPZ/RapСÊóº£ÂíÉñ¾±¬·¢¡¢¡¢¡¢ÐÂÉúÉñ¾ÔªµÄ·¢ÓýºÍÈÏÖª¹¦Ð§µÄÓ°Ïì

ͼ7 ģʽͼ
¸ÃÑо¿Ö¤ÊµÈªÔ´ÓÚÐÇÐνºÖÊϸ°ûÖеÄCHI3L1ÊÇMS»¼ÕߺÍСÊóÄ£×ÓÖгÉÌåÉñ¾±¬·¢È±Ïݼ°ÈÏÖª¹¦Ð§ÕϰµÄÒªº¦·Ö×Ó¡£¡£Í¨¹ýCHI3L1-CRTH2/RAGE-GSK3¦Â/¦Â-cateninÐźÅͨ·µ÷¿ØÍÑËèÇʺ£ÂíµÄÉñ¾±¬·¢£¬¿ÉÄÜ×÷Ϊ¸ÄÉÆÉñ¾ÏµÍ³×ÔÉíÃâÒßÑ×ÐÔ¼²²¡ÈÏÖª¹¦Ð§ÕϰµÄDZÔÚÕ½ÂÔ¡£¡£
ngµç×ÓÓÎÏ·Á¥ÊôµÚÈýÒ½ÔºËÎÑÓÄȲ©Ê¿¡¢¡¢¡¢½ªÎ¬²©Ê¿ºóΪÂÛÎÄÅäºÏµÚÒ»×÷Õߣ¬Çñΰ½ÌÊÚ¡¢¡¢¡¢ÌÀ³£ÓÀ¸±Ñо¿Ô±ÎªÂÛÎÄÅäºÏͨѶ×÷Õß¡£¡£¸ÃÑо¿»ñµÃÖйú¿ÆÑ§ÔºÒÅ´«Ñо¿Ëù¹ùΰÏè½ÌÊÚµÄÖ¸µ¼¡£¡£Í¬Ê±£¬¸ÃÑо¿»ñµÃngµç×ÓÓÎÏ·Á¥ÊôµÚÈýҽԺʵÑéҽѧ²¿º«ÏþÑàÖ÷ÈΡ¢¡¢¡¢ÇðÐãÉúÏÈÉú£¬ÒÔ¼°¹ã¶«Ê¡¿ÆÑ§ÔºÉúÎïÓëҽѧ¹¤³ÌÑо¿ËùÎâ²Êϼ½ÌÊÚ¡¢¡¢¡¢ÅíÅà¼á¹¤³ÌʦµÄÖ§³ÖºÍ×ÊÖú¡£¡£
ÂÛÎÄÁ´½Ó£º£º£ºhttps://doi.org/10.1016/j.celrep.2024.114226